
Before & Afters
Real Patient Transformations
Changing Lives, One Smile At A Time
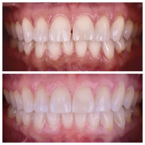
Many patients step into our practice with dreams of a brand new confident smile. Others are looking to repair damage and get their oral health back on track. No matter your goals, we’re honored to be a part of your oral health journey. Take a look at our Before & After gallery to explore real patient stories and procedures completed by our very own Dr. K!

Porcelain Veneers
Invisalign



Full Mouth Rehabilitation




-p-500.png)

Smile Makeovers













-p-500.png)
-p-500.png)
All-On-X Implants

%20(1)-p-500.png)
%20(1)-p-500.png)